Understanding Treatment

Conservative treatment of FAI includes a course of anti-inflammatory medications, a dedicated home exercise program to strengthen the hip, and modifying activities to avoid aggravating the impingement. Activities including deep squats, lunges, and walking/running on a treadmill should be avoided. The upright stationary bicycle, elliptical trainer, and swimming are usually well tolerated. A standing desk can decrease symptoms if one’s work requires prolonged sitting. Cortisone injections play a limited role in the treatment of FAI, since they provide only short‑term relief. Patients can expect to see changes in symptoms within 6 weeks of implementing the above modalities.

If these conservative treatments do not relieve pain, the condition is treated with an outpatient arthroscopic surgery to reshape the hip joint and prevent the impingement of the femoral head on the acetabular rim. Prior to the surgery, a low radiation CT scan is obtained to help plan the surgery. A 3D image is created from the scan and the rotational alignment of the socket and the thigh bone is calculated. This information helps guide the surgical plan. The outpatient surgery is done arthroscopically to minimize damage to the hip joint and muscles surrounding the hip. A burr is used reshape the ball and socket so they better match, and the labrum is reattached to the edge of the socket using bone anchors. This reshaping and/or repair work restores the proper anatomy of the hip, giving the patient the greatest chance of avoiding recurrence of symptoms – and may delay the onset of early arthritis or other related future hip problems.

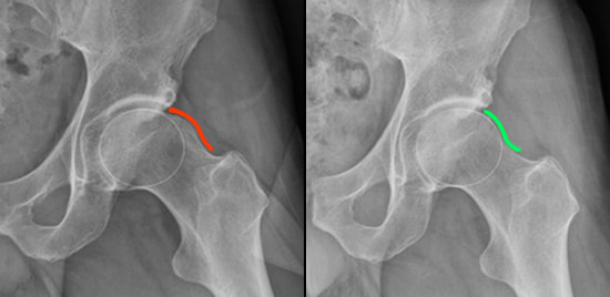
CAM Lesion Before & After Hip Arthroscopy
Arthroscopic Procedure of the Hip

After surgery, patients are on crutches for a minimum of four weeks. They are able to place weight on the foot and should walk in a heel-to-toe fashion. Patients will attend physical therapy for three to five months depending on their goals and progression. Patients with desk jobs return to work at 4–6 weeks, those with moderate physical jobs (e.g. nursing) return at 12 weeks, and those with highly physical jobs return to full duty in four to five months. Individuals who have the flexibility to work initially from home can return to work much sooner. The majority of the recovery occurs in the first six months and return to sport typically occurs at six months.